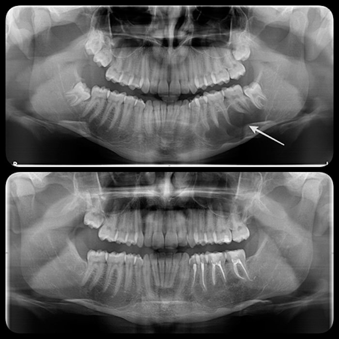
Un diente incluido en el hueso (quiste folicular), una infección crónica o un tejido anómalo (quistes o tumores odontogénicos) pueden ser la causa de un quiste en el espesor de los huesos maxilares. Los más frecuentes, llamados quistes radiculares, se producen por infecciones crónicas de origen dental.

Los quistes al crecer, van destruyendo el hueso adyacente y formando grandes cavidades en el interior del maxilar o la mandíbula. También se pueden infectar, por todo ello deben ser extirpados quirúrgicamente y eliminar todos sus restos para evitar que se reproduzca. Se trata de una intervención sencilla y si el quiste no es de gran tamaño se puede realizar bajo anestesia local.

Cuando el quiste está en relación con la parte final de la raíz de un diente, se extirpa la parte final de la raíz durante la extirpación del quiste, es lo que se conoce como Apicectomía. Para ello el diente debe estar bien endodonciado de forma previa y es necesario hacer un sellado retrógrado del conducto de la raíz durante el procedimiento. Esto permite salvar el diente en numerosas ocasiones.

Quistes Maxilares

Especialistas en tratamiento de Quistes Maxilares

Protege tu salud ósea con un diagnóstico preciso y una cirugía segura. Eliminamos lesiones garantizando tu bienestar. Contacta con nosotros hoy.