La órbita del ojo es la estructura ósea de la cara que contiene los ojos, los músculos que lo mueven, el nervio óptico y la grasa que rellena el espacio entre todas esas estructuras. La órbita ocular puede verse afectada por traumatismos, tumores o el aumento descontrolado de las hormonas tiroideas (hipertiroidismo). Todos estos problemas cambian la posición centrada del ojo y los pacientes consultan por visión doble o diplopía y por ojos saltones o exoftalmos.

“Es una estructura muy compleja que requiere de Cirujanos Orales y Maxilofaciales especializados y familiarizados con los problemas mas comunes de esta región”

Fractura de órbita ocular

¿Qué síntomas puedo tener?

Los síntomas varían dependiendo de la zona anatómica afectada por la fractura de órbita.

Fractura de suelo de órbita

Un golpe directo sobre el ojo puede romper el suelo de la órbita. Parte de la grasa y músculos oculares se introducen en la fractura. Produce visión doble o diplopia, el hundimiento del ojo o enoftalmos y disminución de sensibilidad en la mejilla.

Fractura suelo órbita
Fractura suelo órbita

Fractura de pared de órbita 

Se produce por la fractura del hueso etmoides o pared medial de las órbitas, que separa la nariz de los ojos. Su hundimiento provoca visión doble, el hundimiento del ojo y sangrado por la nariz.

Fractura de pared de órbita

Fractura de pómulo

La fractura del hueso malar provoca el hundimiento del pómulo, alteración de la posición del ojo o distopia ocular, visión doble y disminución de sensibilidad en la mejilla y los dientes.

Fractura ocular
Fractura órbita

Fractura de arco cigomático 

Se produce por un traumatismo directo en la zona lateral de la cara. Hay un hundimiento de la cara por delante de la oreja y dificultad para abrir la boca.

¿Cómo se trata la fractura de órbita? 

En MAXILOFACE tenemos tres objetivos de tratamiento: eliminar la visión doble, normalizar la posición del ojo y restablecer el volumen del pómulo. 

Es necesario reparar las paredes de la órbita, reposicionar el hueso malar y liberar los músculos oculares si están atrapados en la fractura de la órbita ocular. Se puede acceder a los huesos a través de incisiones ocultas dentro del párpado o a través de la mucosa de la boca. El paciente suele estar ingresado 48 horas. El tiempo de recuperación de una fractura de órbita depende en ultima instancia de la intensidad del traumatismo, del grado de desplazamiento del ojo y del tiempo transcurrido desde el accidente hasta la intervención.

Planificación 3D reconstrucción órbita

Tumor de órbita 

¿Qué síntomas puedo tener? 

Los tumores de la órbita pueden ser benignos, como sucede en la mayoría de los casos, o malignos. Si el tumor crece hasta alcanzar un tamaño suficiente puede dar síntomas: el ojo puede estar más saliente o desplazado de su centro, puede haber visión doble o disminución de visión, dolor o caída del párpado superior.

Tumor de órbita en niños 

Quiste dermoide ocular: 

Es el tumor de órbita más frecuente en niños, es benigno y se localiza en la cola de la ceja o en el párpado superior. Su tratamiento quirúrgico. 

Hemangioma capilar orbitario: 

Parece en el primer año de vida y puede afectar el párpado produciendo la caída del mismo y afectando al desarrollo de la visión. El 90% han involucionado a la edad de 7 años. El tratamiento depende de la disminución de la agudeza visual o ambliopía y la aparición de estrabismo. Cada caso requiere una evaluación individualizada. Pudiendo requerir únicamente seguimiento de la visión hasta la desaparición del hemangioma, tratamiento con laser vascular, la inyección de antiinflamatorios o tratamiento con propanolol. 

Linfangioma de orbita: 

Es una malformación del sistema linfático frecuente en niños o adultos jóvenes. En función de su extensión y localización puede requerir tratamiento quirúrgico mediante la inyección de sustancias esclerosantes o Picibanil (ok 432) 

Displasia fibrosa craneofacial: 

Es una enfermedad benigna que consiste en la sustitución gradual de hueso normal por tejido fibroso. Suele afectar al hueso frontal, hueso esfenoides y etmoides. Produciendo un descenso progresivo de la órbita y asimetría facial. Su tratamiento consiste en la eliminación de la fibrosis que comprime el ojo, el nervio óptico o el cerebro y la reconstrucción craneofacial con injertos de hueso sano o prótesis a medida. 

Rabdomiosarcoma: 

Los tumores malignos, en la población infantil son poco frecuentes, pero una masa de rápido crecimiento es una fuente de preocupación que debe ser estudiada rápidamente

Displasia Fibrosa Órbita

Tumor de órbita en adultos 

Pseudotumor orbitario: 

Hay inflamaciones de los tejido de la órbita que se pueden confundir con un tumor. El tratamiento con antiinflamatorios produce una rápida resolución de los síntomas. 

Hemangioma cavernoso orbitario: 

Es el tumor benigno más frecuente del adulto. Son lesiones vasculares al igual que las malformaciones arterio-venosas. Su tratamiento es la extirpación quirúrgica. Tratamiento de órbita ocular.

Osteoma de órbita: 

Es un tumor benigno óseo más frecuente de la órbita, se produce por un crecimiento óseo en los senos paranasales o seno frontal. Requiere extirpación quirúrgica y reconstrucción de las paredes de la órbita. 

Linfoma de órbita: 

Los tumores malignos más comunes en las órbitas son los linfomas. Al principio, se localizan sólo en las órbitas, sin poner en riesgo el resto del cuerpo y cuenta con elevadas posibilidades de curación. Otros tumores malignos de la órbita son el adenocarcinoma de glándula lacrimal y las metástasis orbitarias, sobretodo de cáncer de mama y próstata

GIF Tumor Órbita

¿Cómo saber si un tumor de órbita es benigno o maligno? 

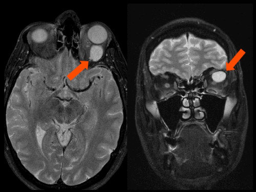
Son necesarias pruebas de imagen como la resonancia magnética nuclear (RMN) o la tomografía computerizada (TAC) o escáner para obtener más información sobre las características del tumor y su localización. En la mayoría de los casos será necesario realizar una biopsia para llegar a un diagnóstico.

Tumor órbita

¿Cuál es el tratamiento de los tumores de órbita? 

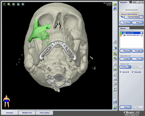
En la mayoría de los casos el tratamiento consistirá en la extirpación del tumor. En MAXILOFACE aplicamos técnicas quirúrgicas poco invasivas que permiten una rápida recuperación del paciente y un buen resultado estético. El Dr. Néstor Montesdeoca es pionero en España en la utilización del neuronavegador para la localización del tumor de órbita y su extirpación sin comprometer estructuras vitales para la visión. 

Empleamos de forma rutinaria planificación 3D y prótesis a medida para la reconstrucción de la órbita. 

Los tumores de órbita malignos pueden requerir tratamiento con quimioterapia o radioterapia en combinación con la cirugía

Orbitopatía tiroidea o enfermedad de Graves 

Son necesarias pruebas de imagen como la resonancia magnética nuclear (RMN) o la tomografía computerizada (TAC) o escáner para obtener más información sobre las características del tumor y su localización. En la mayoría de los casos será necesario realizar una biopsia para llegar a un diagnóstico.

Especialistas en Cirugía de Órbita y Cavidad Ocular

Tratamiento avanzado de traumatismos, tumores y orbitopatía. Recupera tu salud ocular con técnicas de alta precisión. Contacta con nosotros hoy.